Rescuers from Ruff Start Rescue (RSR) recently headed to a shelter in norther Minnesota with a plan for saving cats. Yes, cats were the mission; that is until they met Belah.

As the founder of the rescue, Azure Davis, walked through the kennel area, the active and loud barking dogs echoed through the building. But just one kennel away, a three-month-old puppy waited quietly and smiled. She had remained perfectly still through all the chaos and pushed her paw toward the grated part of her kennel as if to greet her her new friends.

at that moment we were hooked. we quickly shifted gears, loaded up the cats, and sent out an urgent plea to our foster families for help with Belah.
Within minutes one of the organization’s foster homes responded stating they would be glad to help.

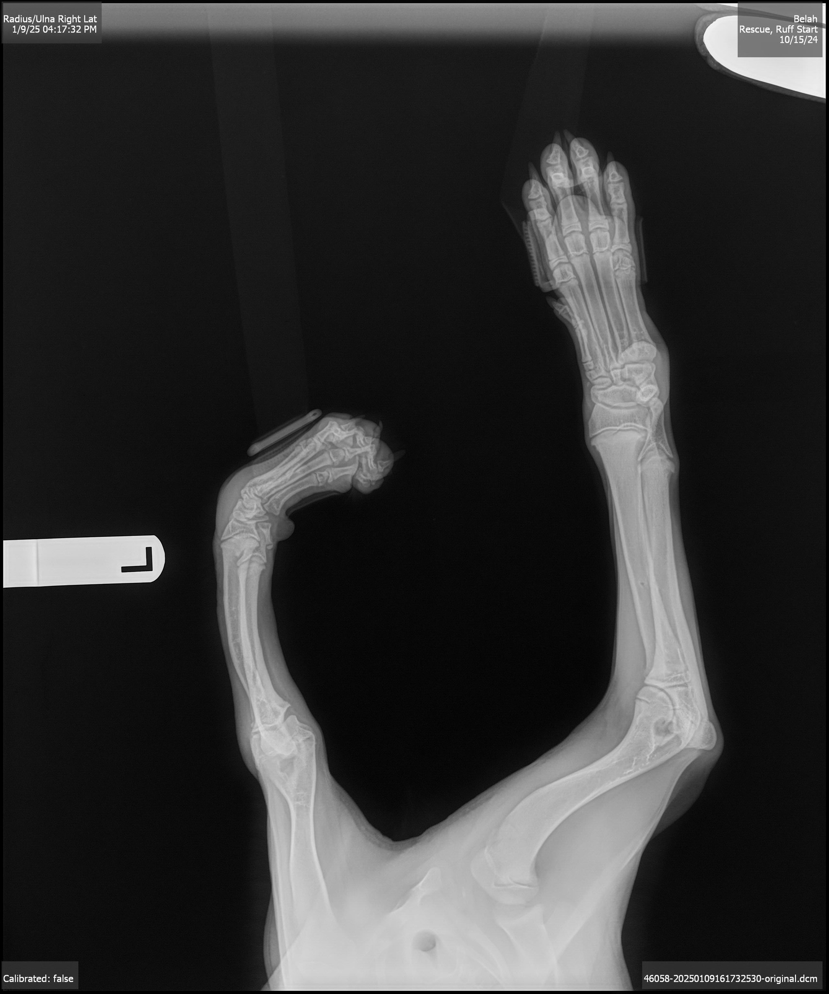
Belah slowly stepped out of her kennel, and as the team prepared the details to take her with them, they could see the puppy had significant deformities. They weren’t sure what the puppy’s future might be, but a veterinarian visit filled in the details.

we learned that she has severe angular limb deformity in her left front leg and carpal hyperextension in her right front leg. Likely caused by birth defects or a past injury, her condition isn’t painful, but it does cause some instability.
Fortunately, Belah is a trooper, and after starting physical therapy, she’s on the path to recovery with the possibility of a custom brace.
Belah is already potty trained, crate trained and remains quiet while crated. Everyday, her sweet personality shines through, and she’s always ready to cuddle and play. She continues to work hard to strengthen her legs and wears a soft splint during her walks and while playing for more support.

Her foster family helps her avoid rough play and discourages jumping until her legs heal.

On Monday, Belah’s update included her latest photo in addition to…

Belah’s perfect date night? A cozy evening in, cuddled up with her teddy bear, snuggling on the couch with her foster family, and, of course, enjoying plenty of treats! It’s all about comfort, love, and a little indulgence for this sweet girl.
But there’s more… just this afternoon Belah was adopted!
Live long and have a happy life sweet dog. Fate brought little Belah to Ruff Start Rescue.
To donate, please click here.
Follow the National Pet Rescue on Facebook for the latest animal related news.

