Meet Sophie; this helpless puppy was found in rural Texas, abandoned in a cardboard box and left lying by herself crying out in pain and unable to walk. Although S.N.A.R.R. Animal Rescue Northeast were called upon to help, there was no room to take her, however the animal rescue organization volunteered to sponsor her for the initial veterinarian visit and x-rays in order to diagnose her condition. In addition, S.N.A.R.R. offered to pay for her pain medication and network her in order that another rescue organization could come to her aid.

We just couldn’t afford another major medical case. We didn’t plan on taking anymore medical cases at this moment. We started asking around and got one ‘NO’ after another for any other rescue to help. We didn’t have the heart sending her back with the finder in this condition, as we know she couldn’t afford any treatment. We don’t euthanize puppies are are savable. So here we are …
S.N.A.R.R. Facebook
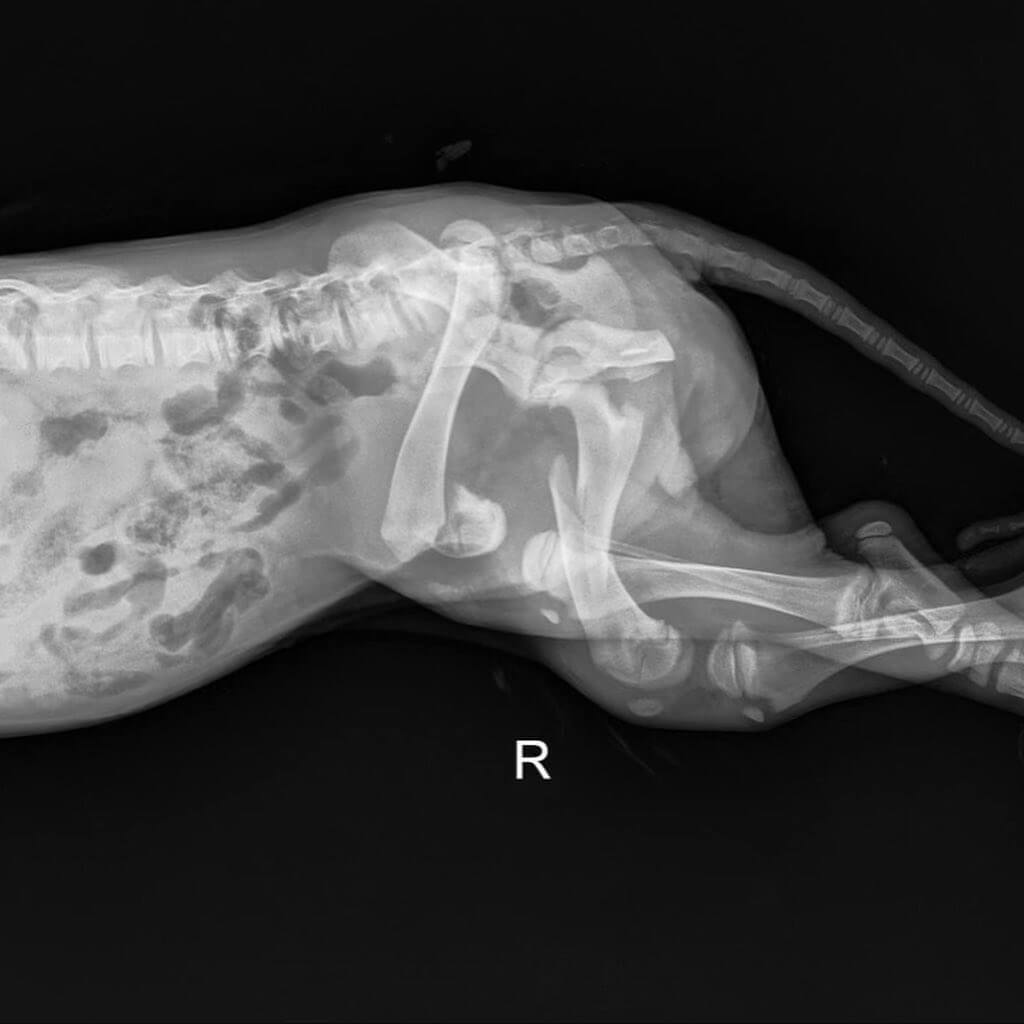
And so Sophie had just been diagnosed with a broken femur and two dislocated hips. She was extremely dehydrated and needed a blood transfusion. Her medical care will cost thousands of dollars.

We didn’t plan on you, but we got you! You are worthy of more than being discarded in a cardboard box on the side of the road in agonizing pain. Sophie is getting top notch care and will be undergoing two different surgeries plus round the clock ICU care.
S.N.A.R.R. Facebook
As to what happened to Sophie is still unknown, but if she had been hit by a car, there likely would have been some outward signs of trauma. The focus, however is now on Sophie and her future.

Donations can be sent:
www.givebutter.com/donatesnarr
Donate via google/Apple Pay, venmo, PayPal, credit card, and bank account!
TEXT “SNARR” to 53-555
via PayPal : https://www.paypal.me/snarrnortheast
Updates to follow.
Follow the National Pet Rescue for the latest news and updates.
I love people who love animals! Choose your favorite color and design at this link. Purchases help support the continuation of this site.

Find Joy in the Little Things! Choose your favorite color and style at this link. Your purchase helps the continuation of our site!




